Numerical results obtained using a level set algorithm for the Mumford-Shah segmentation model


Authors: Tony F. Chan & Luminita A. Vese

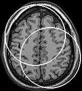
Segmentation of an MRI brain image, using two level set functions to represent the evolving contours

Segmentation of a synthetic image, with several triple junctions, using two level set functions to represent the evolving contours

Segmentation of a noisy synthetic image, with several objects of different intensities, using one level set function to represent the evolving contour

Segmentation of a synthetic image, with several objects of different intensities, using one level set function to represent the evolving contour